LungNeuralNet
We demonstrated that the CNNs, including U-Net and Mask R-CNN, are instrumental to provide:
- efficient evaluation of pathological lung lesions.
- detailed characterization of the normal lung histology.
- precise detection and classification for BALF cells.
Overall, these advanced methods allow improved efficiency and quantification of lung cytology and histopathology.
Applications of U-Net like architectures
The convolutional neural network architecture used in this project was inspired by U-Net and dual frame U-Net with added transfer learning from pre-trained models in keras (keras-applications).

Lung Pathology
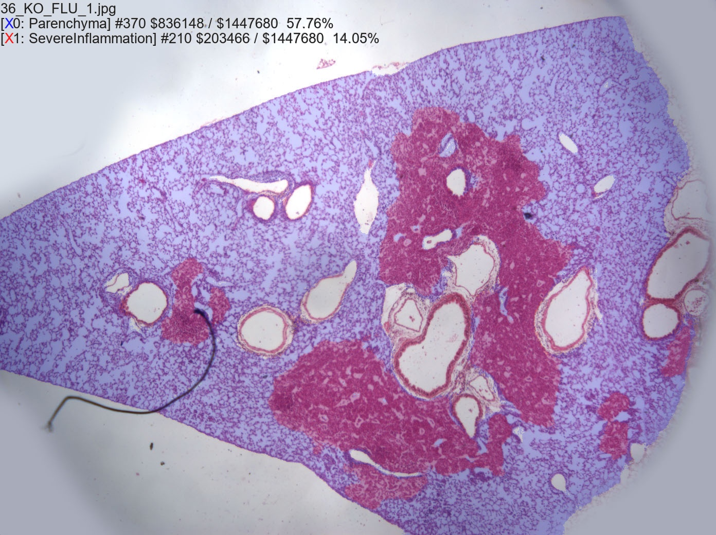
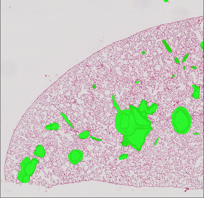
After training on 14 image pairs, the neural network is able to reach >90% accuracy (dice coefficient) in identifying lung parenchymal region and >60% for severe inflammation in the lung in the validation set. The prediction results on a separate image, including segmentation mask and area stats, was shown below.
Multi-label overlay (blue: parenchyma, red: severe inflammation)

| Parenchyma | SevereInflammation | |
|---|---|---|
| 36_KO_FLU_1.jpg | 836148 | 203466 |
Lung Histology
After training and validating (3:1) on 16 whole slide scans, the neural network is able to identify a variety of areas in a normal mouse lung section (equivalent to 10X, cropped from whole slide scan).
Variations of U-Nets were built to perform
- single-class segmentation
- output: sigmoid
- loss: dice & binary crossentropy
- multi-class segmentation
- output: softmax
- loss: multiclass crossentropy
Among them, dual-frame slightly outperform U-Net with single-frame. Although more time consuming, single-class segmentation combined with argmax achieved a better classification results than those done by one multi-class segmentation model, especially for the underrepresented categories.
The best results are listed below:
- single-class segmentation (dice)
- background: 97%
- conducting airway: 84%
- connective tissue: 83%
- large blood vessel: 78%
- respiratory airway: 97%
- small blood vessel: 63%
- multi-class segmentation (accuracy)
- all six categories: 96%
These methods are helpful for identifing and quantifing various structures or tissue types in the lung and extensible to developmental abnormality or diseased areas.
Non-Parenchymal Region Highlighted Image

Six-Color Segmentation Map

Applications of Mask R-CNN
Mask RCNN was developed by Kaiming He, 2017 to simultaneously perform instance segmentation, bounding-box object detection, and keypoint detection.
This project was based on the implementation of matterport with additional functionalities:
- support more convolutional backbone, including vgg and densenet.
- support large images by performing slicing and merging images & detections.
- simulate bronchoalveolar lavage from background & representative cell images for efficient training.
- batch-evaluate models for the mean average precision (mAP).

Broncho-alveolar Lavage Fluid Cytology
After training and validating (3:1) on 21 background image with 26 lymphocytes, 95 monocytes, and 22 polymorphonuclear leukocytes, the neural network is able to detect and categorize these cell types in a mouse lung bronchoalveolar lavage fluid (20X objective).

Within one day of training, the accuracy represented by mean average precision has reached 75% for all categories. The accuracy is highest for the monocyte category.

Data credits: Jeanine D’Armiento, Monica Goldklang, Kyle Stearns; Columbia University Medical Center